Colgate Smart Electronic Toothbrush E1 Review
Our Verdict
Our Analysis and Test Results
Comfort
This brush lacks a low power setting for sensitive gums, but we found that it generally lacked intensity when it came to brushing overall. This allowed our testers with sensitive gums to utilize this brush in its normal setting without too much discomfort. None of our judges found this brush to be anything but comfortable, noting that the intensity of brushing is quite similar to using a regular, manual toothbrush.
This brush is also one of the quietest models — significantly quieter than the mechanically sounding rotation-oscillation models. Very few of our judges had any issues with the sounds made by this brush, regardless of whether they were the ones brushing or a bystander. However, one judge was not a fan of a higher-pitch whine they found this brush to emit. This brush does lack a pressure sensor, losing it a few points.
Cleaning
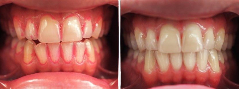
The Colgate Smart delivered a slightly above-average performance. This brush usually got the majority of the plaque of the outward-facing — and easier to reach — surfaces of our testers' teeth without issue.
However, it tended to perform much worse on the hard-to-reach interior surfaces. The majority of our testers had multiple spots where the tinted plaque remained on either the inside surfaces of their front teeth or anywhere around their molars.
Ease of Use
It only has a single cleaning mode, but it does have a two-minute timer with quadrant pacing. We did note that it is a little more difficult to swap brush heads on this brush, as you have to twist them on and off, rather than simply snapping them into place like almost any other toothbrush we have tested.
It is very easy to clean the majority of the handle of this toothbrush, with the only problem area being around the button. This area can be a bit of a challenge to clean, so we recommend doing your best to keep it clean. Colgate also states that the handle is waterproof; however, it advises against rinsing it under running water and suggests using a damp cloth instead. Therefore, using it in the shower is not recommended. Finally, this brush has one of the simplest interfaces of the entire group, featuring only a single button. In addition to having a one-button interface, this toothbrush is also a smart product, wirelessly connecting to your smartphone.
It has a companion mobile app that purportedly will use artificial intelligence to coach your brushing and improve your overall dental health. While we can't really speak to the actual effectiveness of this, we weren't huge fans of using the app while brushing, finding the whole process to be a bit inconvenient and cumbersome.
This brush is very stable on the base - it wobbles around a lot, but never toppled in our shake test. It's a little less stable off of the base but still isn't very prone to being knocked over. Unfortunately, there is no handy place to store any additional brush heads on the charging base. This toothbrush isn't particularly impressive in the aesthetic department, but it has an overall sleek design, placing it just above average in terms of style.
Battery Life
The E1 delivered a somewhat lackluster performance. This brush lasted for 18 days in our test before calling it quits. It also features a battery indicator that changes colors from green to yellow to red, alerting you when it is time to charge the smart toothbrush.
Value
While there are definitely better overall value options than the Colgate, this product is the best value option if you are set on getting a smart toothbrush, with the smart offerings from Oral-B or Sonicare costing significantly more.
Conclusion
All in all, we found the Colgate Smart Electronic Toothbrush to be relatively underwhelming and quite lackluster in terms of performance. It does have an exceptional battery life but failed to impress in our cleaning, comfort, or ease of use tests.









