Our Verdict
Our Analysis and Test Results
The DiamondClean Smart finished just ahead of the Brio SmartClean in our testing process. While the Brio is the most comfortable of this trio, the Sonicare DiamondClean Smart did do the best in our cleaning test. The DiamondClean Smart is by far the most expensive model in our fleet, costing significantly more than any other model we tested.
Cleaning
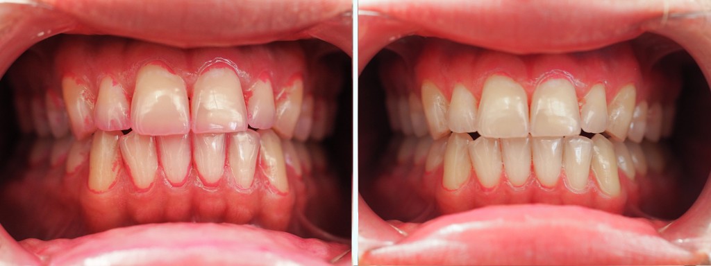
The DiamondClean Smart removed virtually all of the stained plaque for most of our testers, with only one person missing a few of the harder-to-reach places on the inside surfaces of their teeth, putting it on par with the best brushes that we have seen to date.
Comfort
None of our panel of judges had any major issues with this toothbrush, with most of them rating it as one of the more comfortable models.
We particularly liked how this toothbrush felt to hold, with its matte finish and size feeling very ergonomic in your hand. However, some of our testers with more petite mouths did find it slightly unpleasant when brushing their back molars and this brush is just powerful enough to be a little too much for those with the most sensitive gums. However, you can use the sensitive mode to mitigate this if you find that it bothers you.
It's about average in terms of noise, being overall one of the quieter brushes in terms of amplitude. However, we did find this brush to have a high pitch whine that can be a bit irritating. This toothbrush also won some extra points by having a pressure sensor that will slow the brush down if you are pressing too hard.
Ease of Use
It is quite easy and intuitive to switch between modes using the additional mode select button. You simply press the button to cycle through the different cleaning options, of which there are five, and the mode indicator you are in will light up accordingly.
The charging cup does not have any storage for additional brush heads, but the USB charging case does have spots to store two brush heads.
This Sonicare toothbrush has an integrated timer with quadrant pacing to help you brush for the prescribed amount each day.
Battery Life
This toothbrush lasted for 24 days in our test — impressive, considering the standby power draw of the smart features.
Value
This brush is the absolute worst option if you are shopping on a budget. Period.
Conclusion
While the DiamondClean Smart is a very cool, top-rated toothbrush that scores well across the board, its extraordinarily high price tag makes it quite hard to recommend.










