Philips Sonicare ProtectiveClean 6100 Review
Our Verdict
Our Analysis and Test Results
The Philips Sonicare ProtectiveClean 6100 finished in the middle of the group overall and just behind the Oral-B Pro 1000. The Oral-B Pro 1000 cleaned a lot better than the 6100 in our tests and is a lot simpler to use, but it can be a bit a bit aggressive and uncomfortable for anyone with sensitive gums and has an inferior battery life.
Cleaning
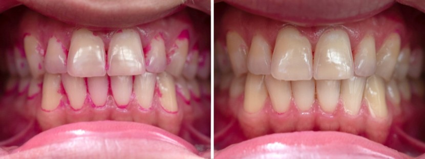
This toothbrush effectively removed the majority of plaque for every single one of our judges. However, there were a few judges that missed significant amounts of plaque in the harder to reach areas of their mouths, such as the inner surfaces of their teeth or back by their molars, precluding the 6100 from one of the top scores in this test.
Comfort
Most of our judges rated this toothbrush very highly, finding it to be solidly comfortable, with even our judges with sensitive gums giving it their stamp of approval. However, there was a small minority of judges who weren't the biggest fans of this brush. They didn't think it was overly abrasive, like some of the oscillation-rotation models from Oral-B, but rather that the frequency of the vibration was high enough to be slightly off-putting.
This brush earned some points by being one of the quieter models, lacking any overly irritating or annoying tones, and being quieter overall than many other brushes. It also features a pressure sensor that reduces the vibrations of the brush if you are brushing with too much force — a common mistake that can be surprisingly easy to make.
Ease of Use
The interface can be slightly confusing, as it features three cleaning modes — Clean, Whiten, and Gum Care — each of which can be run at three different intensities. You use the secondary mode select button to select the cleaning mode before pressing the power button, and then use the same button to adjust the intensity after the brush has started. Needless to say, it takes a little getting used to.
The brush is fairly easy to clean and water resistant enough to briefly rinse or use in the shower, but we did notice that toothpaste residue accumulates at the base of the handle and can take a little effort to clean. The 6100 also features a built-in two-minute timer, divided into 30-second intervals, which automatically stops after a full brushing cycle has elapsed. The charging base lacks storage options for other brush heads, but the included travel case can store two brush heads and the handle.
Battery Life
The ProtectiveClean 6100 lasted for 23 days before quitting, with a low battery indicator triggering on the 19th day of our test, which put it roughly in the middle of the group.
Value
This brush isn't a great value, as there are cheaper options that vastly outperformed it.
Conclusion
Overall, you could do much worse than the Sonicare ProtectiveClean 6100, but you also could do a lot better. Check out our full toothbrush review, which includes electric and manual models, to see our favorites.









