Philips Sonicare Series 2 Review
Our Verdict
Our Analysis and Test Results
The Sonicare Series 2 finished right at the top of the group — just a few points behind our overall top scorer, the Brio SmartClean and matched the performance of the Sonicare DiamondClean Smart. This is a bit surprising, as the DiamondClean Smart is one of Philips' flagship models and costs almost $200 more. The DiamondClean Smart does clean a bit better but isn't quite as easy to use as the Series 2. The Brio cleans about the same but is just a bit more comfortable for most people and costs about the same as the Series 2. However, the Series 2 was more comfortable for our testers with the most sensitive gums to use.
Comfort
The Sonicare Series 2, like most side-to-side electric toothbrushes, is quite comfortable to brush with — definitely much more comfortable than the rotation-oscillation types. The action is gentler, making it a definite plus for those with sensitive gums and has an overall smaller profile, making it easier to clean those hard-to-reach places in the back of your mouth, especially if you have a mouth that is more petite.
This toothbrush is about average in terms of noise produced, measuring in at 63 dBa and failing to produce any noise that either a bystander or the person brushing found to be particularly annoying.
Unfortunately, we did have to dock this brush a few points for its lack of pressure sensor. However, we did find the Series 2 to be quite comfortable to hold, with a matte finish and rubberized button.
Cleaning
While it didn't quite match the top products, this — and all the other toothbrushes in this review — should clean your teeth well enough to prevent any periodontal issues if used correctly.
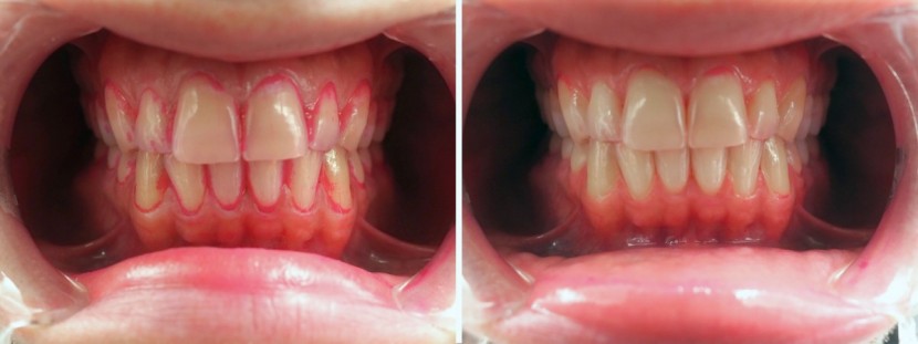
To determine how much plaque each brush removed, a tester allowed a decent amount of plaque to accumulate on their teeth, then stained it with a plaque disclosing tablet. We compared before and after photos, with our tester running the brush for the recommended two minutes in the standard cleaning mode.
Additionally, we also took photos inside the mouth to see just how well the Series 2 cleaned in the hardest to reach spaces.
Our panel had mixed results with this brush, with some people totally obliterating all of the stained plaque with the Series 2, while others missed a non-trivial amount. This discrepancy is mainly what led to the Series 2 lower score, whereas our panel almost universally removed all the dyed plaque with the top scoring brushes.
Ease of Use
The brush head installation is quite easy, only requiring you to click it into place — a significant improvement over the Sonicare Essence. The Series 2 only has a single cleaning mode, but it does have a 2-minute timer with quadrant pacing. The button can be a little difficult to press, but the interface is very minimal, as there are no cleaning modes to toggle between. It is also quite easy to clean the Series 2, with the fully encapsulated power button preventing any residual toothpaste build up.
The Sonicare Series 2 is decently stable off of the base, withstanding minor jolts without falling over, but wasn't terribly stable on the charging base.
The base isn't very large, so it can be a little top heavy.
Battery Life
The Series 2 earned a 6 out of 10 for its slightly higher than average performance, comparing decently well to the rest of the group.
This product lasted for 26 days of normal use in our test, putting it in the middle to upper portion of the group.
This model does have a battery indicator at the bottom of the brush, which will blink when the battery is starting to deplete, alerting you that you have about six uses left before the battery totally dies.
Value
The Series 2 is a great value, delivering solid results across the board at a price that is significantly more palatable than some of the top models.
Conclusion
All in all, you can't go wrong with the Sonicare Series 2 if you are shopping on a budget and value comfort over cleaning skills. While it can't match the plaque removing prowess of the Oral-B Pro 1000 or other rotation-oscillation brushes, the Sonicare Series 2 is significantly less abrasive to sensitive gums and overall much more comfortable to use.










