Waterpik Complete Care 9.5 Review
Our Verdict
Our Analysis and Test Results
This electric toothbrush finished in the lower portion of the group, just behind the Oral-B Pro 1000 and ahead of the Colgate E1 and the Oral-B Pro 5000. The Waterpik costs about $50 more than Pro 1000 and $20 more than the Colgate, but about $40 less than the Pro 5000. The Waterpik is the most comfortable and has the best battery life out of this group, but it delivered the worst performance in our brushing test. It's also a little less intuitive and not as easy to use as the Oral-B Pro 1000 or the Colgate.
Comfort
This brush was fairly well received by our panel of testers, with none lodging any major complaints about its feel. It felt relatively smooth to brush with, and its brush head is a good size, allowing you to reach even the hard-to-reach areas around your back molars.
Overall, we weren't thrilled with the noise level of this brush, with multiple judged finding that it was distracting and rattled significantly more than many of the other products. It does have a sensitive mode that you can activate if you find it too rough on your gums with the standard cleaning cycle but lacks a pressure sensor to notify you if you are brushing too hard.
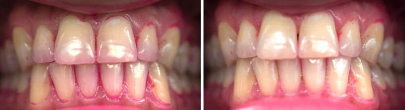
Cleaning
This brush didn't do amazing, with every single one of our testers missing a handful of spots and no one even coming close to a perfect brushing performance.
Ease of Use
This brush features three cleaning modes, accessible via a secondary mode select button, making it easy to switch between them. Pressing the button cycles through the three modes, with an indicator light on the handle illuminating to indicate which mode you are in.
This brush is water-resistant enough to use in the shower, but it can still be a bit difficult to clean, with small gaps around both buttons accumulating toothpaste residue.
Unfortunately, there is no storage on the water flosser base for additional brush heads; however, a brushing timer is set at two minutes.
Battery Life
This brush lasted for a whopping 30 days in our test, which was the second longest out of the entire group. This is definitely a handy trait, as lugging the charging base with an integrated water flosser with you on vacation would be a total pain.
Value
This model is a decent value if you are shopping for both a water flosser and an electric toothbrush; however, there are less expensive toothbrushes that scored significantly better.
Conclusion
This electric toothbrush doesn't really stand out from the group for any reason besides its integrated water flosser, so if you are looking for a water pick and electric toothbrush combo, then this is a good choice. Otherwise, we would recommend looking at other models first.









